日前,第八届“联合国糖尿病日”期间发布了最新调查数据,其显示:快速增长的糖尿病患者数使我国已经超越印度成为糖尿病患者最多的国家。患病率已达9.7%,患病人数超过9200万,患病前期人数高达1.48亿以上,每天新增糖尿病例约3000人。伴随基数的增大,也给很多涉及糖尿病并发症的相关科室带来了极大的压力,从而针对于该并发症患者群的“早预防,早治疗”意识也迫切需要提高。
今年的全国“爱眼日”,就相应的提出了“关注眼健康,预防糖尿病致盲”这个主题。据北京协和医院眼科陈有信教授介绍:糖尿病对眼睛的危害较广泛,除了眼科手术后可能出现伤口愈合不良、出血多、角膜水肿、角膜上皮损伤、眼内炎等并发症风险外,糖尿病患者还容易患结膜炎、角膜炎、泪囊炎、白内障、角膜上皮剥脱,出现糖尿病视神经病变、糖尿病性眼肌麻痹。特别是糖尿病视网膜病变是糖尿病眼病中最严重的并发症,也是致盲的重要原因之一,在各种致盲眼病中约占8%。
有资料也表明:糖尿病患者致盲的危险性是非糖尿病患者的25倍。糖尿病主要损害视网膜的微小血管,严重影响视力,甚至致盲。目前,糖尿病视网膜病变已上升为最重要的致盲原因之一,全球有1/4患者因此病失明。
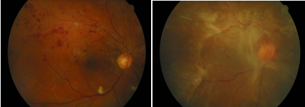
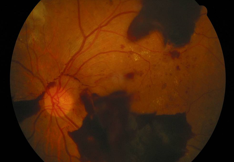
我们通过CR-2免散瞳数码眼底照相机来获得眼底的图像,清晰地了解到糖尿病视网膜病变的整个过程:

早期视网膜后极部散在微血管瘤和小点状或小片状出血,视网膜静脉充盈扩张、轻度纡曲。随着病情的发展,除了微血管瘤和点、片状出血外,同时出现白色或黄白色渗出,病变往往波及黄斑区影响视力。

进一步发展,视网膜和视乳头上出现广泛的新生血管,并有结缔组织增殖,视网膜反复出血,棉絮状渗出增多,严重损害视力。

晚期或严重病例,可反复发生大量的玻璃体出血,出血如不能完全吸收可产生机化条索,与视网膜粘连,引起增殖性玻璃体视网膜病变,增殖条索牵拉视网膜引起视网膜脱离,最后导致失明。
但是目前我们也无奈地发现,由于患者对糖尿病及其眼部并发症缺乏了解和认识,常常当视力下降到相当程度,影响到正常工作和生活,才到医院就医,结果延误了宝贵的治疗时机。在病变的过程中,早期的干预效果远远好于后期。早期的筛查可以通过眼底照相机来获得初步的判断,尤其是免散瞳数码眼底照相机,因其具备快速、准确、无创的特点,从而成为早期筛查的最佳设备。例如上述提到的CR-2免散瞳数码眼底照相机。
陈有信教授建议:确诊的糖尿病患者,应到正规医院眼科进行检查,了解是否有糖尿病视网膜病变的发生。一般每年详查一次眼底;病程在5年以上者应每半年检查一次,必要时还需进行眼底荧光血管造影;若已经出现病变,则需要1-2个月检查一次。至于眼底检查,随着技术发展已经非常便捷,医生通过清晰的眼底图像进行有效的诊断,从而能很好地做到对患者的早期预防实时监控,进而及时将眼底并发症控制住。
有关数据也明确指出:病程在5年以下者眼底改变为38—39%;病程5-10年者眼底疾病发病率为50-56.7%;10年以上者发病率增至69-90%。所以,糖尿病患者经内科医生全面检查以后,一定要定期到眼科进行眼底检查,这将对疾病的早期诊断、治疗及判断预后提供极其重要的参考依据。
受访人:陈有信教授,北京协和医院眼科
注 明:该眼底照片由佳能免散瞳数码眼底照相机CR-2拍摄
该组照片版权为佳能公司持有
文章转自《医师在线》12月刊
本网站所载的文/图等稿件均出于为公众传播有益健康的信息之目的,并不意味着赞同其观点或证实其内容的真实性,我们不对其科学性、严肃性等作任何形式的保证。如其他媒体、网络或个人从本网下载使用须自负版权等法律责任。
本网站所有信息仅供参考,不做个别诊断、用药和使用的根据。本网站致力于提供正确、完整的健康资讯,但不保证信息的正确性和完整性,且不对因信息的不正确或遗漏导致的任何损失或损害承担责任。本站所提供的任何医药资讯,仅供参考,不能替代医生和其他医务人员的建议,如自行使用本网资料发生偏差,本站概不负责,亦不负任何法律责任。
