张湘生,男,汉族,北京人,1949年10月出生,医学硕士,外科学主任医生,博士生导师。1968年从医,1983年考入湖南医科大学临床医学系攻读外科学硕士学位研究生,1986年毕业留湘雅二医院工作,同年晋升主治医生,1993年晋升骨科副主任医生,1997年获硕士导师资格,2004年晋升骨科主任医生,2006年获博士生导师资格。
1992年-1994年由世界卫生组织资助,以访问学者身份在意大利博罗尼亚Rizzoli骨科研究院学习,从事肢体延长与矫形及新辅助化疗治疗骨肉瘤的研究。1994年回国后,率先在国内开展大剂量化疗治疗骨肉瘤、恶性骨肿瘤的保肢治疗及骨痂延长治疗伴大段骨缺损及肢体短缩的骨不连,并在国际骨科权威杂志J Bone Joint Surg (Br) 上连续发表三篇关于骨痂延长治疗儿童骨髓炎后伴骨缺损及肢体短缩骨不连的论著,在国际上首次提出“骨膜休眠现象”,标志着我国骨延长治疗骨髓炎后骨不连达到国际先进水平。
主要研究方向:骨肿瘤,骨不连、先天性畸形矫正和复杂人工关节置换。研究开发了“镶嵌式外固定支架”和“儿童生物臼盖”,均获国家食品药品监督管理局批准注册,进入临床使用。近年获湖南医学科技奖二等奖一项,中南大学医疗新技术成果一等奖、三等奖各一项。发表骨科专业论文50余篇,其中SCI论文16篇。主译《骨与软组织肿瘤》一书,参编《外科学试题精集》、《实用矫形外科手术进路图谱》等专著近10部册。主持与指导省部级课题4项,厅局级课题2项,申报获得国家实用新型专利10项。
现任国际外固定联盟副主任委员,中国残疾人康复协会第四届肢体残疾康复专业委员会常务委员;湖南医学会骨科专业委员会骨病专业学组组长,湖南康复医学会康复工程与肢体矫形专业委员会副主任委员;《中国医师杂志》、《临床骨科杂志》、《中国保健医师》等杂志编委。
肢体延长:在骨外固定器或内固定器的牵张应力作用下,使骨断端间隙的长度和宽度增加,周围软组织(神经、肌肉、血管等)相应延长,最终使肢体长度达到矫形的要求,又不影响肢体功能。
肢体重建:应用肢体延长的原理和方法,使某一肢体或局部组织的形态、结构和功能,按治疗要求发生新的再生、重塑和改建。
随Ilizarov技术的引进,外固定支架的发展及广泛应用,组织牵生目前应用越来越广泛,其所取得的治疗效果也越来越神奇!
张教授1994在意大利学习到骨延长技术,回国后开始开展工作并进一步探索及改进了手术方式,研发“镶嵌式外固定支架”。该项技术到目前已达到全国一流水准,且广泛应用在肢体延长、畸形矫正、感染性骨不连等疾病的治疗上。多年来有全国各地患者慕名而来,至少治愈了一万例患者。
病例1:张某,女,14岁,化脓性骨髓炎后遗留缺损性骨不连,骨缺损约2.5 cm,肢体短缩约16.4 cm,膝关节强直,面临截肢。
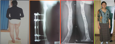
病例2:患者,女,18岁,肢体短缩15cm,骨不连。

病例3:患者,男,16岁,股骨外髁不发育导致K型腿并短缩11公分。行外固定支架截骨矫形,延长11cm,骨痂生长良好。

病例4:先天侏儒畸形,双胫骨仅17CM,身高128CM,伴“O”形腿。术后情况:纠正O型腿并延长14cm。

病例5:蔡某,女,28 岁。儿时右肱骨骨髓炎致右上臂停止生长,较对侧短缩11cm。

病例6:患儿,女,12岁,左尺骨骨软骨瘤,致左前臂畸形

病例7:叶某,女,25岁,外伤后髋关节毁损。髓内外结合技术行股骨延长。

病例8:某女,18岁,化脓性骨髓炎致右股骨短缩13CM。

本网站所载的文/图等稿件均出于为公众传播有益健康的信息之目的,并不意味着赞同其观点或证实其内容的真实性,我们不对其科学性、严肃性等作任何形式的保证。如其他媒体、网络或个人从本网下载使用须自负版权等法律责任。
本网站所有信息仅供参考,不做个别诊断、用药和使用的根据。本网站致力于提供正确、完整的健康资讯,但不保证信息的正确性和完整性,且不对因信息的不正确或遗漏导致的任何损失或损害承担责任。本站所提供的任何医药资讯,仅供参考,不能替代医生和其他医务人员的建议,如自行使用本网资料发生偏差,本站概不负责,亦不负任何法律责任。
