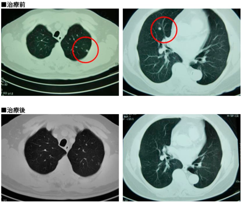
今年五月,上海的杨先生慕名前往全球肿瘤医生网寻求帮助。患者是他的父亲,今年79岁,5年前杨先生的父亲被诊断为S状结肠癌,手术后辅助化疗,病情一直稳定。直到今年3月,患者出现胸闷咳嗽症状,在当地权威肿瘤医院确诊为结肠癌手术后肺部转移。因患者年龄较高,为寻求最佳治疗方案,杨先生找到全球肿瘤医生网,经过专家初步评估,推荐患者接受日本安全无创的细胞免疫治疗。日本细胞免疫治疗第一人--阿部博幸教授为患者制定了树突细胞疫苗+活性NK细胞的治疗方案,一个疗程之后,患者肿瘤消失,肿瘤标志物正常。目前患者身体状态良好,密切随访中。

据全球肿瘤医生网报道,肿瘤细胞免疫治疗一种自身免疫抗癌的、具有显著疗效的新型肿瘤治疗模式,是运用生物技术和生物制剂对从病人体内采集的免疫细胞进行体外培养和扩增后回输到病人体内的方法,来激发,增强机体自身免疫功能,从而达到治疗肿瘤的目的。细胞免疫疗法具有以下优势:
1、手术、化疗、放疗联合肿瘤细胞免疫疗法,可以精准清除残余肿瘤细胞,防复发、防转移,提升患者生存质量和时间;
2、快速恢复手术造成的免疫损伤,提高手术成功率;
3、清除术后残余癌细胞,防转移、复发;
4、减轻化疗药物的免疫抑制作用;
5、增强放化疗耐受性,减少放化疗毒副作用;
6、降低痛苦,提高病人的生存质量;
日本是开创免疫细胞治疗癌症的领导者,已有30年的历史,掌握着最核心的技术,是目前对癌症实体瘤研究和临床最发达的国家。

阿部博幸教授是日本细胞免疫治疗的先驱,开创了免疫细胞疗法、免疫阻断疗法、免疫联合疗法,并获得美国日本多项专利。现在,全日本1/4采用免疫细胞疗法的肿瘤专科正在接受阿部教授的指导和技术,为更多的患者提供有希望的治疗。

免疫细胞疗法是大量活化树突细胞、NK细胞等,增加免疫细胞攻击癌细胞能力的疗法。
特点①增加多价癌抗原识别异体细胞提高攻击效率,平均有效率比化疗高1倍以上。②几乎没有副作用,偶尔有短暂低烧。
免疫阻断疗法是阻断免疫抑制点,如PD1制剂,使正常免疫细胞活跃反击癌细胞的疗法。国外最新的临床统计发现其有效率为20-30%;其副作用没有化疗药物强烈,但是会引起炎症。
免疫联合疗法是同时使用上述增加攻击力和阻断抑制点的疗法。
联合疗法是一种崭新的治疗方法,完全有理由期待其治疗效果,这将是今后肿瘤治疗的主流方法。但是联合疗法需要主治医师具有丰富的肿瘤治疗经验和对免疫学的深厚理解及运用经验,首先确保患者的安全。临床效果还有待数据证明。
适应症
肿瘤细胞免疫疗法适用于多种实体肿瘤,包括肺癌、肾癌、膀胱癌、卵巢癌、结肠癌、直肠癌、乳腺癌等。
据报道,国内的免疫治疗行业多是模仿和跟踪,缺乏原创的理论和技术,且“第三方医疗技术”监管制度存在很大纰漏,导致国内细胞治疗市场比较混乱,前沿研究难以及时进入临床应用,而被淘汰的细胞治疗技术却在利益驱动下无序开展,导致魏则西事件的悲剧,于是卫计委叫停了国内所有的细胞免疫治疗。因此,赴日接受细胞免疫治疗成为国内癌症患者的最佳选择。
近日,全球肿瘤医生网(http://www.globecancer.com/)联合上海森茂诊所,特邀请阿布博士诊所的日本癌症专家森田裕二院长为国内癌症患者开展日本癌症治疗的专题讲座及公益会诊活动。全球肿瘤医生网可协助患者接受日本高端细胞免疫治疗。详情致电400-666-7998或登录全球肿瘤医生网。
本网站所载的文/图等稿件均出于为公众传播有益健康的信息之目的,并不意味着赞同其观点或证实其内容的真实性,我们不对其科学性、严肃性等作任何形式的保证。如其他媒体、网络或个人从本网下载使用须自负版权等法律责任。
本网站所有信息仅供参考,不做个别诊断、用药和使用的根据。本网站致力于提供正确、完整的健康资讯,但不保证信息的正确性和完整性,且不对因信息的不正确或遗漏导致的任何损失或损害承担责任。本站所提供的任何医药资讯,仅供参考,不能替代医生和其他医务人员的建议,如自行使用本网资料发生偏差,本站概不负责,亦不负任何法律责任。
