质子治疗技术经过半个世纪的临床应用和 研究,已被公认为是放疗领域先进的技术。美国和日本作为长期排名在世界卫生组织评定的医疗水平最优的国家之一,他们的质子治疗技术和设备更是全球领先!面对投资巨大、回报周期长,30~40万高昂的治疗费用,曾令我国科学家望洋兴叹,阻断了很多癌症患者的求医之路!
中国的肿瘤放疗步入质子治疗时代!
虽然建设资金巨大,质子治疗中心依然在全球迎来建设潮,中国也不例外。近年来,中国越来越多的科研机构和医院投入到质子治疗研发、建设和运营之中,在建或拟建项目超过70个。质子治疗作为肿瘤放射治疗升级技术已进入中国临床应用!
全球质子评估会诊中心
全球肿瘤医生网与全球知名的质子中心联手,打造国内权威的质子治疗评估会诊中心,中心拥有国内外知名质子专家,例如日本质子第一人秋原哲夫、美国质子专家X. Ronald Zhu,可为患者提供病情评估和远程会诊。帮助患者在全球范围内寻找最适合的质子治疗中心,并协助患者接收质子治疗。目前美国、德国、日本、中国台湾及大陆都有权威的质子治疗中心,患者可以根据自己的病情自行选择!如需要质子治疗评估及会诊,可致电全球肿瘤医生网医学部预约(400-666-7998),也可以登陆全球肿瘤医生网了解更多质子相关资讯。
中国大陆质子治疗应用情况大汇总
1.山东淄博万杰质子治疗中心(WPTC)
2004年12月20日,山东质子中心引进全球领先的质子治疗解决方案供应商--美国IBA质子治疗系统并投入临床使用,是国内最早建成的质子治疗中心,与全球排名第一的癌症治疗中心MD安德森的质子治疗设备是一样的。目前精准的分为第一治疗室(针对头颈部肿瘤)和第二治疗室(针对全身肿瘤),由于治疗经验丰富,每天接受质子治疗的患者数量较大,常常要排到凌晨两三点。
运营情况:正式接收患者
费用:27.8万
接收适应症:体部大部分癌症及肿瘤: 如肝癌、肺癌、胰腺癌、肾癌、肾上腺癌、胆管癌、胆囊癌、前列腺癌、膀胱癌、直肠癌、腹腔软组织肿瘤、食管癌、结肠癌。
可治疗儿童及老年癌症患者,但通常只接收原发灶肿瘤及单一病灶肿瘤,拒绝接收多发病灶,不接收全身肿瘤、白血病、淋巴癌患者。
2.兰州中国科学院近代物理研究所(IMP-CAS)
中国科学院近代物理研究所及其控股公司兰州科近泰基新技术有限责任公司自主研发、制造的具有自主知识产权的医用重离子加速器,已通过了科学技术部、环境保护部、商务部、国家质量监督检验检疫总局组织的国家重点新产品认定,获颁国家重点新产品证书。
2009年7月19日成立“兰州重离子治癌中心”使用自主研发的重离子治疗装置。
运营情况:未正式接收患者
3.北京质子医疗中心
位于中日友好医院,由民营长安信息产业(集团)股份有限公司与香港健昌集团有限公司出资,中日友好医院出地,共同兴建。2004年10月起因故停工。直至2008年初,中国泰和诚医疗集团有限公司和长安信息合作,才正式开始重建。目前正在建设中,预计2018年建成。建成后预计年收治肿瘤病人2000人。
运营情况:停滞
4.上海市质子重离子医院
上海市质子重离子医院(复旦大学附属肿瘤医院质子重离子治疗中心),医院由复旦大学附属肿瘤医院作为法人负责日常的运行和管理。主要以重离子治疗为主。医院位于南汇区周浦镇上海国际医学园西北部的国际医院功能区,已经正式开诊。

运营情况:正式接收患者
费用:27.8万
5.301医院河北涿州质子治疗中心
2015年1月28日,质子治疗设备供应商IBA和河北涿州建康乔投资有限公司签署质子治疗中心建设合同。该中心将成为世界规模最大!一洲国际质子医学中心,位于距离北京30分钟车程的河北涿州。

运营情况:预计2019年开阵临床试验
费用:25.7万
6.广州质子治疗中心
2014年IBA和广东恒健投资控股有限公司签署广州质子治疗中心建设合同,目前处于建设中。
7.天津空港经济区中美质子治疗和研究中心
Provision Healthcare已经与天津太山肿瘤医院签订合作协议,将成立一家位于自贸区内的质子中心。
耗资1亿美元的质子中心将由Provision和太山肿瘤医院共同拥有和经营,并命名为天津空港经济区中美质子治疗和研究中心。Provision的研发和制造业务部ProNova将为质子中心的3间治疗室提供SC360质子治疗系统。该项目计划于2018年初完工。
新质子中心还具有科研功能,主要针对中国北部未来质子治疗的发展进行临床科研。随着质子治疗的推广,双方还合作成立一家培训中心,专门培训医疗专业人士。
天津太山肿瘤医院位于天津自贸区空港经济区(Tianjin Airport Economic Area-TAEA),是中国第一家个体化肿瘤诊疗中心。致力于开展生物免疫治疗、骨髓移植和精确放疗这些精确综合癌症治疗。
8.上海瑞金医院肿瘤(质子)中心
2014年12月30日瑞金医院肿瘤(质子)中心建筑项目宣布正式开工,未来将在该中心投用的首套国产质子治疗装置研发也已启动,预计2016年底建成,2018年开展临床调试。将实现质子治疗装置的国产化、降低治疗成本、进一步满足患者需求。
运营情况:未正式接收患者
9.江苏淮安质子治疗中心
质子治疗系统制造商Advanced Oncotherapy与英国信诺医疗公司(Sinophi Healthcare Limited)签订采购合同,即将在中国江苏省淮安市安装LIGHT质子治疗系统。
质子中心最多将有3间治疗室,建成后将成为淮安一家耗资2亿美元的肿瘤医院的一部分。项目建设预计2016年开始。
运营情况:未正式接收患者
10.江苏质子重离子医院
2014年6月凤凰股份就投资质子重离子医院和有关单位签署了合作框架协议。凤凰出资、南京市出地、江苏省肿瘤医院出医疗资源,已在南京江北新区划地百亩,启动筹备工作。
参与方之一的凤凰集团、凤凰股份已进军健康养老产业,2014年3月与江苏省人民医院、江苏仁医医院投资管理股份有限公司等医疗机构签订合作协议,合作内容包括健康管理、医疗救护、康复保健、健康养生、养老护理、技术研发、健康教育培训、专业图书出版等。
运营情况:未正式接收患者
11.福建莆田质子治疗中心
民营企业艾普强(福建)医疗设备有限公司于2011年开始筹备建设中国莆田质子治疗中心,斥资47亿元,2015年开工建设,预计2019年建成投入使用。项目将建设成为集医疗、科研、预防、康复、教学、培训等功能为一体,立足中国,辐射东南亚,面向国际的三甲肿瘤专科医院,在技术、设备、管理、服务、环境等达到亚洲顶尖水平。
运营情况:未正式接收患者
什么是质子?
英国物理学家欧内斯特·卢瑟福被公认为质子的发现人。1918年任卡文迪许实验室主任时,用α粒子轰击氮原子核,注意到在使用α粒子轰击氮气时他的闪光探测器纪录到氢核的迹象,质子带正电,可以经电场使之高速运动,达到极高的能量。
质子属于重子类,质量是938百万电子伏特/c²(MeV/c²),大约是电子质量的1836.5倍,但是质子粒子极其微小,一万亿个质子排成直线只有一毫米长。
什么是质子治疗?
设想一台重达196吨的杀癌设备,能够以亚毫米的精度瞄准患者的肿瘤,同时保护附近的健康组织并最大限度地减少副作用,这就是质子治疗。
• 质子从离子源开始。在几分之一秒内,氢原子被分离成带负电的电子和带正电的质子。
· 质子通过真空管注入直线加速器,在几微秒内,质子的能量达到700万电子伏特。
· 当质子束进入同步加速器时停留在真空管中,加速器将其能量增加到总计7000万到2.5亿电子伏特,足以达到患者体内的任何深度。
· 在离开同步加速器之后,质子移动通过由一系列磁体组成的光束传输系统,将质子束成形,聚焦并引导至适当的治疗室。
· 为确保每位患者安全有效地接受规定的治疗,该设施由计算机和安全系统网络控制。机架可以旋转360度,允许光束以任何角度传送。
· 当质子通过输出口时,定制装置(孔径)塑造质子束,另一个定制模型将质子塑造成肿瘤形状的三维模型,将它们传递到肿瘤的部位。
· 在最大能量下,质子束以每秒125,000英里的速度传播,相当于光速的三分之二。
质子治疗对比其他放疗最显著的优势有哪些?
多年来,标准放射疗法已经发展和改进,目前临床中常用的是光子放疗,比如旋转调强,静态调强,射波刀,TOMO刀,在控制许多癌症方面效果显著。然而,由于X射线束由初级光子和二次电子组成,射线是以直线方式穿过身体,在入射初能量最大,过程中不断衰减,也就是说从皮肤表层下一定深处到肿瘤靶区前方的正常组织都会受到X线照射,并且正常组织接受的放射剂量会高于肿瘤靶区剂量,同时位于肿瘤周边和射线输出路径的组织也不可避免地受到X线照射。
质子治疗的第一大优势就在于,医生可以控制质子释放大部分抗癌能量的位置。当质子束进入身体后剂量释放缓慢上升,在射程末端释放最高能量,形成一个剂量高峰即布拉格峰(Bragg Peak),可精确瞄准肿瘤靶区,峰值过后剂量则急速下降至趋于零。这意味着质子治疗能让放射剂量集中在肿瘤处,肿瘤前方正常组织所受到的剂量较小,肿瘤后方组织基本上不会受到照射。

第二大优势是质子的辐射可以最大限度降低对正常组织的伤害,对目标肿瘤细胞造成最大的损害。以儿童髓母细胞瘤为例,我们可以看到普通放疗产生的大部分副作用,质子都完美的规避了。

第三大优势是质子治疗可以降低二次肿瘤的发病率。以头颈肿瘤为例,常规放疗比质子治疗的辐射剂量高出25Gy,这意味什么呢?25Gy=你做了12500头颈CT,增加96%罹患二次肿瘤的风险!

质子治疗的效果如何?
国际上公认质子治疗是对实体肿瘤最精密和最准确的放疗方法之一,并在临床肿瘤治疗应用中显示出独特的优越性。
A、大量的临床数据显示,脊索瘤和软骨肉瘤通过质子治疗可以取得良好的局部控制率,并有效避免手术后不断复发的难题。

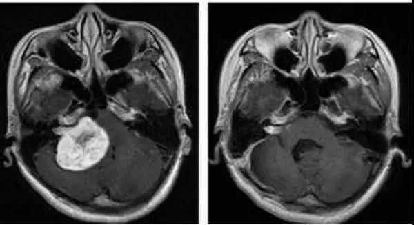
B、对于眼癌的患者,质子治疗可以在避免眼球摘除手术的前提下达到相同的治疗效果。美国麻省总医院治疗儿童视网膜母细胞瘤的质子治疗计划,很清楚地看到质子治疗病灶周边非常干净,没有多余的射线残留,而传统放疗波及范围就很大了,对于眼睛这一重要器官,治疗时尤其要注意并且要尽最大努力进行保护,质子治疗有绝对的优势。而放疗相关的或原位出现的第二恶性肿瘤的10年发病率有显著差异(质子vs光子:0%vs14%)

C、鼻咽癌复发因为传统放疗的剂量已经到了极限,使用质子放疗可以取得良好效果。
D、原发性的体积较大肝癌或结直肠癌多发肝转移,大部分失去了手术的治疗机会,肝部对传统放疗也不能耐受,而选择质子放疗可以有效杀灭肝部病灶,有效延长生存期。
E、中央型肺癌失去手术机会的情况下,选择质子放疗也能取得良好治疗效果,其他类型肺癌在少于三个病灶也可以用质子治疗。
F、前列腺癌尤为适合质子治疗,一是前列腺癌的质子重离子治疗临床数据显示效果很好;二是前列腺癌老年人居多,已经无法耐受手术及传统放疗的副作用。
G、儿童实体肿瘤,主要是颅内肿瘤及肉瘤类,如髓母细胞瘤、脊索瘤,因为考虑到儿童的长期生存,质子和重离子减少额外伤害的特性会大幅减少二次原发癌的发生风险等。

H、此前因为无法固定的弊端,乳腺癌是无法选择质子治疗的,但由于技术改进,现在已经可以使用质子治疗乳腺癌,并且取得了良好的效果。

I:卵巢癌、胰腺癌等都可以选择质子治疗。

质子治疗究竟是不是“抗癌神器”
质子治疗的优势这么多,是不是所有可以做放疗的患者都应该选择质子治疗呢?质子治疗究竟是不是“抗癌神器”呢?
答案当然是否定的。
首先,作为放疗设备的一种,质子治疗有着严格的适应症,有些患者并不适合:
A、同一部位肿瘤已接受过2次及以上放射治疗的患者;因为剂量已到极限,质子也无法再进行照射。
B、晚期肿瘤患者如多发转移、肿瘤终末期患者等,病灶较多的患者不适合质子治疗,因为质子只是局部治疗手段。
C、胃及肠道肿瘤:因为不规则蠕动,无法使用质子放疗。
D、血液系统肿瘤(白血病、多发性骨髓瘤等)
E、已进行放射性粒子植入治疗的患者
F、无法较长时间保持俯卧或仰卧等体位的患者
而患有癌症的儿童从质子束治疗中获益最多。由于器官仍在发育,儿童可能受到传统放射治疗的最大长期伤害。儿童X射线治疗的延迟效应可能包括生长问题,听力和视力丧失,放射诱发的癌症和心脏病。
其次,质子治疗的费用较高,目前,国际上主要是德国、日本和美国的质子和重离子技术比较发达,国内患者也大部分选择在这三个国家进行治疗。
对于收费标准,各个国家不一样。在美国按次收费,一般治疗完成需要12-15万美元,约折合人民币90万元左右,德国需要5-6万欧元,约人民币40万左右。日本治疗费用与国内相近,约人民币28万左右。总体来说,中国、日本最低,德国价位适中,美国是德国的2-3倍左右。
并且在国内需要自费,仅有极少数地区可以医保报销,对于大部分罹患癌症的普通家庭来说可望而不可及。患者在选择放疗技术的同时也需要考虑自身的经济情况。
那么,如果一个患者既适合做光子放疗也适合做质子,是不是选择更贵的质子效果更好呢?
质子治疗,不是神器,也不是神话,作为一种放疗技术,质子治疗也有自己的短板,对于某些病情,光子治疗的效果可能更好,比如:
治疗乳腺癌,质子治疗对皮肤的损伤高于光子放疗:

周围型肺癌:质子相对射波刀没有优势
中央型肺癌:质子并不优于调强放疗

再比如听神经瘤、三叉神经痛等,射波刀的优势更加明显:

所以,昂贵不一定是好的,便宜不一定是坏的;适合自己才是最好的。对于质子治疗最简练的总结是安全、副反应小、疗效肯定。但是也不能盲目地认为质子治疗是癌症的克星,癌症治疗仍需要多学科综合治疗,选择权威的专家、医院,制定最适合自己的治疗方案才能达到好的治疗效果。
最后希望大家早日调整好心态,战胜癌症。也可以加入病友群,与大家分享交流抗癌经验获得帮助。