首都医科大学附属北京世纪坛医院眼科 主任医师 徐冰
进入二十一世纪,中国经济有了飞速的发展,老百姓的生活富裕了,丰衣足食的日子越过越红火。但伴随着饮食习惯的改变,糖尿病的发病率也逐年上升,1993年糖尿病患者数大约占成年人口的6%,到现在糖尿病患者数已飙升到11%,并且还有逐年升高的趋势。民间都说糖尿病是富贵病,其实,糖尿病是以血糖水平增高为特征的代谢疾病群,是影响全身各个脏器和组织的血糖代谢紊乱性疾病,包括糖尿病视网膜病变(以下简称“糖网”),糖尿病肾病,糖尿病周围神经病,心血管病等。
糖网是严重的糖尿病眼底并发症之一,是造成糖尿病患者失明的主要原因。据统计,糖尿病病人失明的人数高于非糖尿病病人10~25倍。糖网与性别、年龄无关,但与糖尿病病程关系密切。随糖尿病病程加长,发病率逐渐上升且加重。若伴有高血压高血脂,则糖网发病率更高。糖网的发病率在过去最高达30%,自应用胰岛素后,随着治疗措施的改进,病人寿命的延长,糖网的发病率增加至50%,甚至更高。
糖网的危险因素有糖尿病患病时间长、血糖控制不理想、妊娠、高血压、肾病。其他因素有肥胖、高血脂、吸烟、贫血等。
糖尿病初期,一般没有眼部自觉症状,视力无影响。随着糖网的发展,可引起不同程度的视力障碍。若黄斑区受到侵犯,可有视野中心暗影、中心视力下降、视物变形等表现。视网膜小血管破裂,少量出血进入玻璃体,患者可自觉眼前有黑影飘动。当新生血管大量出血到玻璃体腔,视力可严重丧失,仅存光感。黄斑区以外的血管闭塞,或增殖性视网膜病变导致视网膜脱离,则出现相应部位视野的缺损,甚至失明。
尽管目前还没有根治糖尿病的方法,但延缓病程的进展,尽量减轻视力的损害还是有很多方法的。这就需要每个糖尿病患者自己重视起来,积极配合医生,定期进行眼底检查,根据病情尽早进行治疗。
一旦被确诊为糖尿病,就应该定期去眼科做眼底检查。建议糖尿病患者无眼底病变者每半年至一年检查眼底一次,有眼底早期病变者每三月检查眼底一次。眼科医生除了运用眼底镜进行检查外,现在很多医院都配备了先进的佳能免散瞳眼底照相机,无需散瞳剂就可以在短时间内获取眼底影像,且成像清晰,能够看到更多细节,可以极大地缩短诊断周期,也避免了药物散瞳给患者带来的不适和不便。并且方便医生对患者的糖尿病视网膜病变进行分析,追踪观察,并实时监控病变的发展。

CR-2免散瞳数码眼底照相机
正常眼底是橘红色的,眼底干净,血管走行正常。如果视网膜出现微血管瘤,出血渗出,标志着进入糖尿病视网膜病变了。糖尿病视网膜病变临床上分为6期。1-3期为增殖前期(也称为背景期),4-6期为增殖期。早期应该尽量控制血糖,血压,可以通过药物延缓病情发展,在进入到增殖期之前,需要通过全视网膜光凝治疗,将一部分患者的病情控制住,延缓失明出现。如果进入增殖期,玻璃体手术是保住患者残存视力的有效方法。
无论采取何种检查,治疗方式,都需要患者耐心配合医生进行治疗。由此可见,糖尿病视网膜病变的早期发现,及时恰当的治疗是延缓糖尿病患者失明、保住珍贵视力的唯一办法。让医生与患者共同抵御糖尿病视网膜病变这一视力杀手,给患者一个更好的生活质量。

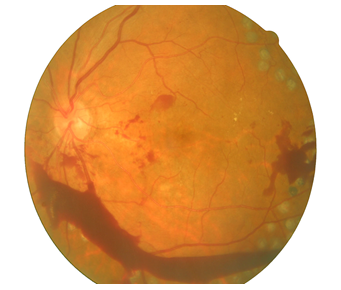
糖尿病1期眼底图

糖尿病4期眼底图

糖尿病6期眼底图
以上眼底图片由佳能免散瞳眼底照相机拍摄
本网站所载的文/图等稿件均出于为公众传播有益健康的信息之目的,并不意味着赞同其观点或证实其内容的真实性,我们不对其科学性、严肃性等作任何形式的保证。如其他媒体、网络或个人从本网下载使用须自负版权等法律责任。
本网站所有信息仅供参考,不做个别诊断、用药和使用的根据。本网站致力于提供正确、完整的健康资讯,但不保证信息的正确性和完整性,且不对因信息的不正确或遗漏导致的任何损失或损害承担责任。本站所提供的任何医药资讯,仅供参考,不能替代医生和其他医务人员的建议,如自行使用本网资料发生偏差,本站概不负责,亦不负任何法律责任。
