癌症是威胁人类健康的第一大杀手,全球癌症治疗水平差距较大,发达国家的五年生存率几乎是发展中国家的3倍。长期以来日本在癌症领域的研究和治疗都走在世界前列,据国际肿瘤学界的专家介绍,日本已经是癌症治疗效果最好的国家之一。日本不仅拥有一批优秀的肿瘤专家和顶尖癌症中心,在治疗癌症领域研究活跃,发表的论文的数量和质量都位居全球之首,日本已经成为世界癌症研究领先的国家。日本还拥有全球顶尖的抗癌技术和设备,如治疗病例数量最多的质子治疗和细胞免疫治疗。在2015年世界卫生组织对各个国家医疗水平的排名中,日本排名第一,与美国的医疗水平不相上下日本的医疗服务质量也代表着全球最高水准。
日本各癌肿五年生存率调查显示,在各种主要癌症中,乳腺癌5年生存率达到92.2%,大肠癌为72.1%,胃癌为71.2%,肺癌和肝癌则分别为39.4%和35.9%。
全球肿瘤医生网日本医疗专家介绍说,日本顶尖的抗癌成绩归功于先进的癌症治疗技术和癌症预防复发技术。
一、 日本拥有先进的癌症治疗技术和顶尖的癌症中心。
日本癌症医疗机构配备有最先进的治疗技术,可以有效控制癌症病情进展。目前,日本在癌症的质子治疗及生物靶向治疗领域处于世界领先地位:
质子治疗系统是目前世界上先进的超大型尖端医疗设备,因技术及资金要求高,目前仅在美国、日本、德国等医疗强国拥有成熟的质子治疗技术,全世界有超过9万的患者前往美日等癌症中心接受质子治疗。
日本也是癌症靶向治疗的强国,通过先进的基因检测技术,检测出相对应的癌症基因突变细胞,来研制相应的药物,药物进入病变部位只针对癌变的细胞产生作用,而不会对周围正常组织细胞产生伤害。靶向药物是肿瘤靶向治疗中特异性高的一种,不良反应也远远小于传统的化学治疗和放射治疗,可以说是“高效低毒”。
日本世界闻名的医院有许多,其中中国患者最熟悉的抗癌机构有:
第一名、癌研有明医院
2015年度日本治癌医院100强名单中,癌研有明医院综合治癌能力位列第一,是日本最早的癌症专科医疗研究机构。作为癌症专科医院,积极引进国际上最先进的治疗方法,拥有世界上尚为数不多的诊断和治疗技术。
第二名、国立癌症研究中心中央医院
日本国立癌症研究中心设立于1961年,是集癌症治疗、癌症预防和研究为一体的综合性中心。是日本仅次于癌研究会的第二大癌症研究中心。推行跨学科的各相关科室合作进行癌症综合治疗,拥有癌症治疗的各种尖端设施设备,确保患者获得最适合的治疗方法。
第三名、顺天堂医院
日本顺天堂大学附属顺天堂医院是日本综合排名第一的医院,顺天堂医院在呼吸内科与呼吸外科疾病、肺癌治疗方面是日本最顶级的,肺癌治疗人数全日本第一位。
第四名、庆应义塾大学医院
拥有以研发微创癌症治疗新技术和设备为目的的微创疗法研发部门,并已成功开发了多项新治疗方法和器械,积累了丰富的经验。在消化系统肿瘤的治疗领域,只要没有淋巴结转移,无论肿瘤的大小和位置如何均能用微创手术治疗。
第五名、兵库县立粒子线医疗中心
兵库县立粒子线医疗中心,2001年成立,是世界上率先开展质子和重离子两种放射线进行治疗的医院。截止到2015年2月末已经有6,904人(质子4,732人、重离子2,172人)接受过治疗。因为有了大量的病案积累,经验也愈加丰富,可治疗的恶性肿瘤的范围有了进一步拓展,治疗成绩也在不断的提高。
二、日本拥有先进的癌症预防复发技术。
癌症的三大治疗方式是手术、化疗、放疗,但均不能预防癌症的复发和转移。日本科学家一直在研究和临床使用各种预防癌症复发的新方法,配合手术、放疗、化疗,提高癌症患者五年生存率,其中最主要的技术包括基因疗法、免疫疗法和疫苗疗法、电场疗法。以上预防复发技术,全球肿瘤医生网已经引进到国内,患者可以登录全球肿瘤医生网详细了解。
日本免疫细胞疗法:在免疫细胞治疗领域日本全球领先,而且日本政府卫生部门对于免疫细胞治疗的监管也在逐步放开,临床上出现了大量成功的案例。在日本,开展癌症的免疫治疗,必须通过国家的再生医疗委员会和地方的卫生局申请,经严密的考察后才能取得免疫治疗的认定资格。目前,巨噬细胞免疫疗法已获得专利,并在临床试验中取得惊人疗效。 “免疫疗法”的目的,就是想方设法唤醒人体自身的免疫功能攻击癌细胞,试验证实,免疫疗法与常规疗法结合使用效果最理想。
日本肿瘤疫苗疗法:从肿瘤组织中提前提取或自体体液提取出的癌症抗原(如肺癌抗原/肠癌抗原)配合培养出的树突细胞和辅助剂,根据患者所患癌症种类所量身订制的癌症疫苗。与保健类药食品(灵芝孢子粉,虫草等)不同,疫苗并非泛泛提高身体免疫力,而是针对患者所患癌症唤起体内免疫应答主动进行肿瘤细胞消灭。截止到目前,在日本接受癌症防复发疫苗的患者已达13万人以上(目前正在使用的包括日本16000位和来自海外的6000位),肿瘤疫苗技术已经获得美国专利认证及日本,新加坡等国专利认证。
日本癌症基因疗法:癌症基因疗法的研究已有十多年历史,目前日本已成功研发出两种新型基因疗法,分别为JG-1和E10A。JG-1是结合CDC6shRNA活性基因和“癌抑制基因p16这两种基因的强有力的疗法。E10A是一种利用病毒载体(腺病毒5号),将endostatin基因和Interferon基因等其他有治疗效果的基因导入癌细胞内,并使之产生有疗效的一种基因药物。研究证实了癌症基因疗法的安全性和有效性,已经在美国、日本等医疗水平最尖端的国家开展。
日本电场疗法:由美国FDA批准的最新抗癌技术“电场疗法”,是一种有效的癌症的治疗技术,通过低强度低频静电波电场影响病灶肿瘤细胞分裂,导致癌细胞凋亡。电场治疗最大的特点是不损害免疫系统、相对安全、无副作用、对正常细胞无伤害、有效肺癌清除癌细胞、预防复发和转移等独有优势,可以配合手术、放疗、化疗等其他手段,预防肺癌复发。目前电场治疗仅在美国、日本、以色列开展,患者可以通过全球肿瘤医生网申请治疗。
成功案例:
一、电场疗法

患者男性,22岁,诊断为松果体瘤,侵犯丘脑:肿瘤位于中脑(松果体区域)压迫丘脑(MRI 2012年11月23日),导致患者视力受损和严重头痛。ECCT治疗4月后,肿瘤体积逐渐缩小(MRI 2013年1月4日),患者症状持续改善。治疗15月后,MRI示肿瘤几乎消失(2014年3月6日),患者状况几乎回复正常。在这个病例里,肿瘤通过脑脊液流出道与第四脑室相连,因此死亡细胞可完全清除。单纯使用ECCT而不用手术有望完全消除整个肿瘤。
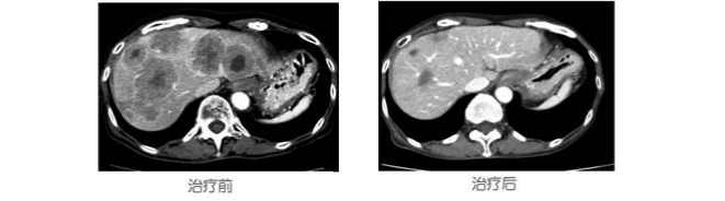
二、基因疗法
2012年10月,71岁,女性,食道癌肝转移,化疗后觉得四肢无力。通过日本多学科专家会诊后,建议她做基因治疗。接受了“超级NK细胞”与“特殊树状细胞”相结合的基因治疗后,使肝脏肿瘤奇迹般地变小了。

三、免疫细胞疗法
患者男性,82岁,因吞咽食物困难就诊,确诊为食道癌,因身体不能耐受手术、放化疗,经过日本专家多学科会诊,制定免疫细胞疗法,治疗一个疗程后,病灶明显缩小,食物通过明显改善。

如何去日本接受抗癌治疗?
日本治疗费用远远低于欧美国家,去日本治疗的旅程也非常适合中国患者。但日本医院和诊所接受国际患者非常苛刻,一般都是先通过国际会诊决定是否接受患者。中国患者可以通过全球肿瘤医生网将病历资料递交给日本专家,进行综合评估和会诊后决定是否前往日本治疗。
日本多学科肿瘤专家会诊
全球肿瘤医生网联合日本再生医疗集团和日本顶尖癌症中心,可以为患者同时进行多学科专家会诊。患者只需支付一次会诊费用,即可享受包括质子治疗、电场治疗、细胞免疫治疗、基因治疗、癌症疫苗治疗在内的日本最新技术专家会诊服务。详情致电400-666-7998或登录全球肿瘤医生网。
本网站所载的文/图等稿件均出于为公众传播有益健康的信息之目的,并不意味着赞同其观点或证实其内容的真实性,我们不对其科学性、严肃性等作任何形式的保证。如其他媒体、网络或个人从本网下载使用须自负版权等法律责任。
本网站所有信息仅供参考,不做个别诊断、用药和使用的根据。本网站致力于提供正确、完整的健康资讯,但不保证信息的正确性和完整性,且不对因信息的不正确或遗漏导致的任何损失或损害承担责任。本站所提供的任何医药资讯,仅供参考,不能替代医生和其他医务人员的建议,如自行使用本网资料发生偏差,本站概不负责,亦不负任何法律责任。
