非小细胞肺癌占所有肺癌的85%,这是全球癌症死亡率的主要原因。目前,针对非小细胞肺癌的治疗方案较多,但如何延长晚期患者的生存期及提高生活质量,仍然是世界范围内有待解决的难题。古巴分子免疫中心穷尽了第一代研究人员的心血,经过长达25的临床探究,完全自主研发出全世界第一种针对非小细胞肺癌有效的治疗性疫苗--CIMAvax & VAXIRA,经过2000多例临床验证,可以平均延长晚期患者4~6个月的生存期,引起世界轰动。
来自美国的Oana说:
我丈夫自2016年6月起使用非小细胞肺癌疫苗Cimavax。
我丈夫患有第四期鳞状细胞肺癌。原发肿瘤位于右上叶,于2015年11月手术切除。2015年12月至2016年3月期间,他一直接受卡铂和吉西他滨辅助化疗 - 4个疗程。在cx期间(2016年2月),PET显示左肺7mm肿块。2016年4月手术,是鳞状细胞癌。一个月后,新的PET显示在左肺出现另一个病灶。医生建议我们接受免疫治疗,但我们负担不起,所以他开始接受非小细胞肺癌疫苗Cimavax。在开始治疗之前,EGF血清浓度是1656pg / mg。诱导阶段(2016年9月)后,EGF降至66.1 pg / mg,2016年12月降至20,48 pg / mg。
2017年2月和2017年6月完成的PET显示,肿瘤基质没有新陈代谢活跃的迹象。
来自加拿大的Anny说:
我刚刚从美丽的古巴回来了两个多月,妈妈是EGFR + ,外显子 19 缺失。原发性病变在肺部,转移到肝,脑,骨骼和一个肾上腺。在17轮全脑放疗后,比较稳定。于是Anny前往古巴为她的妈妈购买疫苗,现在刚开始接受第二代非小细胞肺癌疫苗Vaxira的治疗。到目前为止,似乎没有任何不良反应。
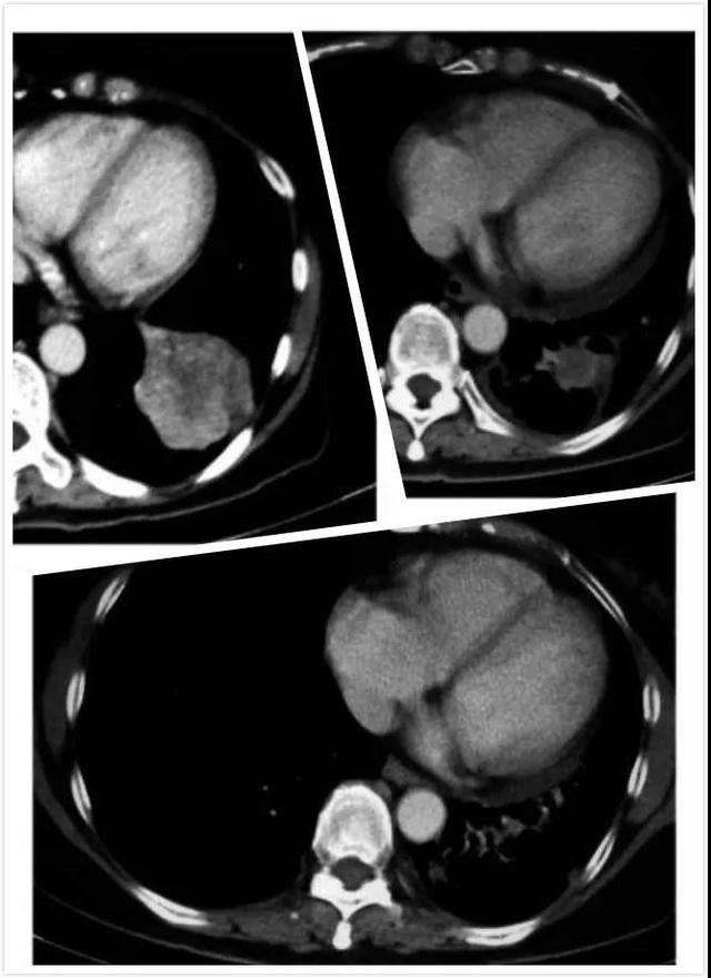
来自古巴的FNM女士说:
我于2007年12月被诊断患有T4N1M0-IIIb期NSCLC,当时54岁,病灶为9厘米×5.8厘米×7.2厘米。我在3个月内接受3次紫杉醇(260 mg)和卡铂(415 mg)治疗。肿瘤减小到7cm×6cm×5cm,同时放化疗,两个月后,我申请参加非小细胞肺癌疫苗方案。治疗前下肺叶病变为3厘米×3厘米(图1),3个月后,肿瘤缩小到2cm×2.1cm(图2)。FNM女士在治疗过程中没有报告任何副作用。在停药后3个月(18个月)进行CT胸部扫描,肿瘤大小“无明显变化”(图3)。最后一次随访 - 停止疫苗后28个月 - FNM女士身体健康,她的ECOG状态一直保持在0.

何为非小细胞肺癌疫苗?
据国内最专业的肿瘤患者服务平台--全球肿瘤医生网报道,非小细胞肺癌疫苗是由古巴研发的一种治疗性而非预防性的NSCLC(非小细胞肺癌)免疫治疗。 它不能预防癌症,而是具有将其转化为更慢性疾病的潜力。
目前,非小细胞肺癌疫苗分为两代。一代称为CimaVax-EGF,由重组人表皮生长因子(EGF)组成,其与来自脑膜炎奈瑟球菌的重组载体蛋白P64化学偶联。 该佐剂与佐剂Montanide ISA 51佐剂以帮助驱动强烈的免疫应答。
二代称为Vaxira® (Racotumomab),是一种抗独特型抗体,它的独特型部分模仿神经节苷脂。当皮下注射时,Vaxira®( Racotumomab)扮演代理抗原的角色,产生抗体,结合神经节苷脂,活化免疫系统,针对表达神经节苷脂的肿瘤细胞产生特殊免疫作用。
非小细胞肺癌疫苗的效果如何?
非小细胞肺癌疫苗相比传统的晚期肺癌化疗有极少副作用。化疗会对身体产生伤害,因为它在杀灭癌细胞的同时也杀死正常细胞,导致脱发、呕吐,食欲减退,疲倦等副作用。因为疫苗不会杀死正常细胞,因此副作用相对较小,例如寒战或发热,用非处方药就可治疗。
但必须要说明的是肺癌疫苗并不能完全治愈癌症,其主要功效是使肿瘤长期处于受控制状态,延缓病情的发展,从而延长患者生命。研究报道CimaVax能帮助60岁以下肺癌患者延长总生存期至18.53个月,而不使用CimaVax的患者平均总生存期只有7.55个月。同时CimaVax可以提高患者的生活质量,减少咳嗽和呼吸急促等症状。
非小细胞肺癌疫苗为何如此成功?
首先,和现有的CAR-T、PD-1等免疫疗法不同,非小细胞肺癌疫苗疗法副作用非常小,不会发生严重的免疫反应。
再者,古巴重视民众医疗健康,更加重视疗法的成本效益。与同为免疫疗法的Opdivo(虽然机理不同)相比,去古巴买药的外国人每年花费1.2万美元,而Opdivo则每月就要花费1.2-1.5万美元。而古巴本国人用此药则是免费的。
其次,虽然美国从1962年开始对古巴实施经济、贸易和金融全面封锁,但是古巴本国并不缺乏受过高等教育的高素养的科学家和医生,另一方面,从某种程度上与外界的隔绝更是“逼着”研究者们去创新。
非小细胞肺癌疫苗的应用情况
由于古巴未对该疫苗大肆宣传,因此全世界仅有少数的医生和患者知道这种疫苗,在中国,约98%的医生和患者对非小细胞肺癌疫苗闻所未闻。
CIMAvax肺癌疫苗在古巴、委内瑞拉、秘鲁、巴拉圭、哥伦比亚等国均已上市。
中国目前未上市。
美国:目前,FDA已经批准了CIMAvax肺癌疫苗临床试用新药申请(IND),美国纽约州罗斯威尔·帕克研究所即将对CIMAvax肺癌疫苗开展临床试验,已于2017年年初招募90名患者接受疫苗的治疗(这也是美国第一次对此疫苗进行临床试验)。
该临床试验的受试对象为IIIB期到IV期非小细胞肺癌患者,并将通过I期剂量递增试验来确定疫苗使用最佳剂量和注射频次。在古巴的试验中,这种疫苗的用法为前4周每周给药,4周后每月给药。之后,在RPCI的试验中,CIMAvax将会与PD1检查点抗体nivolumab (Opdivo)联合使用,这项开放标签试验将招募136例患者,随访期为12个月。
如何获得非小细胞肺癌疫苗?
据全球肿瘤医生网报道,目前,肺癌疫苗已经在古巴秘鲁等地批准临床使用应用多年,当地居民免费接受治疗。这种最新型的肺癌疫苗未在国内上市,全球肿瘤医生网已经与古巴分子免疫中心建立联系,可协助肺癌患者接受治疗或协助患者家属前往古巴将疫苗带回国内,详情致电400-666-7998或登录全球肿瘤医生网。

肺癌患者家属在全球肿瘤医生网的协助下分别带回的一代、二代非小细胞肺癌疫苗
申请流程
1、提交病例资料到全球肿瘤医生网
2、整理翻译病例资料,提交至古巴普拉德拉国际医疗中心进行评估
3、全球肿瘤医生网协助患者或患者家属前往古巴接受疫苗治疗或将疫苗取回国内。详情请致电400-666-7998。
更多抗癌资讯及最新技术请致电或登录全球肿瘤医生网。
全球肿瘤医生网是由医生组建的专业抗癌技术服务平台,与国内外医院保持密切的会诊和转诊合作关系,可以帮助患者在全球范围内选择最适合的医院、技术、药物、临床实验进行治疗,可以为患者提供终身的抗癌追踪和治疗服务。国内患者可以通过全球肿瘤医生网接受权威癌症专家的会诊,通过平台直接预约前往美国医院治疗,也可以通过平台接受最新抗癌技术评估和治疗。
本网站所有信息仅供参考,不做个别诊断、用药和使用的根据。本网站致力于提供正确、完整的健康内容的真实性,我们不对其科学性、严肃性等作任何形式的保证。如其他媒体、网络或个人从本网下载使用须自负版权等法律责任。
本网站所有信息仅供参考,不做个别诊断、用药和使用的根据。本网站致力于提供正确、完整的健康资讯,但不保证信息的正确性和完整性,且不对因信息的不正确或遗漏导致的任何损失或损害承担责任。本站所提供的任何医药资讯,仅供参考,不能替代医生和其他医务人员的建议,如自行使用本网资料发生偏差,本站概不负责,亦不负任何法律责任。
