在宾夕法尼亚州,费城的Fox Chase癌症中心,已经获得在北美其他地方没有的先进技术。
该技术研发原理基于光动力治疗,但其能够以非常高的能量传递辐射,由高能量(45MV)光子束组成,并与作为活化剂的光敏药物联合使用。突破了光动力仅能治疗浅表肿瘤的不足,为临床上仅能接受姑息治疗的晚期癌症患者群体提供新的治疗方案。
在过去几个月,Fox Chase癌症中心一直与A45设备制造商合作,安装设备,并开始申请FDA批准这项放射动力治疗(RDT)新技术。 临床试验评估将A45治疗已经用尽其他治疗手段的癌症患者潜力。

技术背景
电子回旋加速器是电子加速器和回旋加速器的组合,并在20世纪70年代初由Scanditronix开发,该系统使能量可以达到50 MeV。该技术的建立是为了以更高的能量来破坏肿瘤。
研究人员发现,高能光子加速器(LA45)可与光动力学试剂配对,用于大肿瘤的局部治疗,或转移性癌症的全身治疗,为肿瘤治疗提供了新的亮点。(以下简称该技术为A45)。
深入了解这项技术
A45产生的光子能量范围为5至45MV。 虽然该系统可用于常规和高级放射治疗(如IMRT),但这项真正创新的治疗方式称为动力放射治疗(RDT)。众所周知,某些肿瘤对特定的分子或化合物具有亲和力。 这些分子可以被标记或掺入某些非载体和底物中以形成光敏剂(例如5-ALA,卟啉)并注入患者体内,利用A45产生的高能量可以有效的激活RDT光敏剂药物。
在患者肿瘤病灶特异性摄取光敏药物后,A45可以在影像系统定位下(如CT,MRI,PET等)以相对较低的剂量照射肿瘤,比如用几cGy用于全身治疗到用几Gy进行局部治疗(Gy或cGy定义为辐射剂量的一个单位)。
光敏剂的氧组分可以被光子能量激活(具有放射活性)。 当氧气衰变时,肿瘤病灶(肿瘤细胞对这些光敏剂的摄取量高10-20倍)被照射发生损伤,例如对线粒体,DNA和/或细胞膜的损伤。

另外,可以使用PET扫描器来监测所产生的光子。 PET / MRI扫描仪在照射后立即进行图像采集,可实现高度准确的癌组织采集和剂量沉积记录。扫描数据可用于评估治疗的准确性治疗效果,例如监测生化环境的变化,如缺氧和新陈代谢。
光敏剂和光动力疗法
虽然A45技术背后的理论非常复杂,但总体是基于光动力治疗(PDT)的原理。PDT已经存在100多年,患者服用光敏剂,癌细胞喜欢糖类,会比正常细胞对光敏剂的摄取高10〜20倍以上。 这些肿瘤是贪得无厌的,吸取任何类似于糖的东西,因此可以通过PET扫描来定位成为A45高能辐射的目标。
PET的作用
PET扫描仪通常与FDG结合使用,如前所述,癌症需要葡萄糖。
意味着肿瘤在PET扫描上“发光”。因此吸收了大量光敏剂的肿瘤可在pet上显示,这可以让医生准确确定肿瘤位置,制定光子剂量分布治疗方案,靶向破坏肿块,减少副作用。
治疗意义
文献表明,患者的最佳治疗时间为注射光敏药物后4〜6小时进行RDT照射治疗。总辐射剂量变化为几个cGy用于转移的全身治疗,几Gy为局部肿瘤治疗。
癌细胞吸收了大量的光敏剂,一旦暴露于高能量射线,会产生能够杀死癌细胞的单线态氧。
经A45肿瘤治疗处理后的肿瘤细胞裂解物具有免疫原性,促进初始T细胞产生Th1型免疫应答。
同时,A45的动物实验还显示,经A45肿瘤治疗治愈的荷瘤动物的血清具有过继免疫性转移性(adoptive immunetransfer)。将治愈后动物的血清或脾细胞输入给同种动物,还可以诱发这些动物的免疫抗拒,抑制同种移植肿瘤的生长。
实验和临床结果均已证实A45肿瘤治疗除了具有直接杀伤肿瘤细胞和破坏肿瘤组织结构等局部效应外,还可发挥诱导机体免疫反应的功能,在抗肿瘤免疫的参与下,A45肿瘤治疗能达到抗局部原发肿瘤,甚至抗转移肿瘤和防止肿瘤复发等多种治疗效果。
A45治疗各类癌症效果
非小细胞肺癌
患者女性,63岁。
2013年5月确诊为肺腺癌双肺转移
右肺病灶

2013年治疗前 治疗后
左肺病灶

2013年 2015年治疗后完全消失
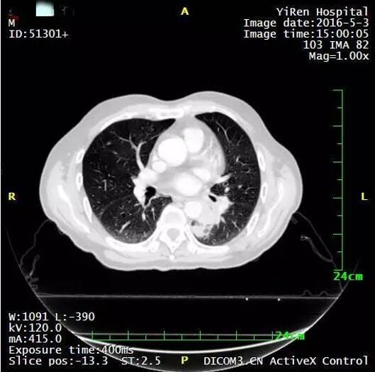
小细胞肺癌
患者男性,64岁。
2016年3月,诊断为小细胞肺癌。

治疗前

治疗后病灶明显缩小

治疗后两个月进一步缩小

治疗后7个月,病灶几乎全部消退
直肠癌
患者男性,63岁。
直肠癌术后Ⅳ期,膀胱、盆腹腔及骨多发转移。

治疗后一个疗程后复查,膀胱及直肠病灶明显缩小,肛周复发灶较前缩小,血尿症状消失,疼痛症状消失,其他症状显著缓解。
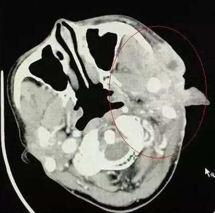
腮腺癌
患者女性,63岁。

A45治疗前

A45治疗一个疗程后,病灶缩小非常明显,皮肤逐渐愈合好转。
全球肿瘤医生网提醒广大癌症患者,A45治疗技术是一项比较新的治疗手段,虽然临床试验阶段取得了一定的效果,而且具备副作用小的优势。但从目前的实际治疗案例看,A45治疗像放化疗一样,不会对所有的患者有效。由于A45的治疗费用较高,有一定经济条件的患者可以尝试。癌症治疗需要符合治疗指南和规范,不是所有的患者都适合A45治疗,决定治疗前需要先请权威的专家进行评估和会诊,选择最佳治疗方案。
患者应首先接受治疗指南和规范确认的化疗、放疗、靶向治疗、免疫治疗等标准治疗方案。对于拒绝放化疗的患者,或者以上治疗手段无效的患者,可以考虑A45治疗技术是否适用。
患者可以致电4006667998或登陆全球肿瘤医生网(http://www.globecancer.com/),A45首席肿瘤专家可以为国内患者提供远程会诊和专家在线交流。咨询最新抗癌技术及权威癌症专家,请致电或登录全球肿瘤医生网。
本网站所载的文/图等稿件均出于为公众传播有益健康的信息之目的,并不意味着赞同其观点或证实其内容的真实性,我们不对其科学性、严肃性等作任何形式的保证。如其他媒体、网络或个人从本网下载使用须自负版权等法律责任。
本网站所有信息仅供参考,不做个别诊断、用药和使用的根据。本网站致力于提供正确、完整的健康资讯,但不保证信息的正确性和完整性,且不对因信息的不正确或遗漏导致的任何损失或损害承担责任。本站所提供的任何医药资讯,仅供参考,不能替代医生和其他医务人员的建议,如自行使用本网资料发生偏差,本站概不负责,亦不负任何法律责任。
