一位33岁的女性因炎性腹泻就诊,结肠镜检查发现可疑肿块,病理活检显示中度分化腺癌,术前CEA水平为1.0 mcg / L。 患者随后进行腹腔镜右半结肠切除术,病理检查确定了侵袭性中分化腺癌,具有粘液特征,肿瘤侵入肌层,通过周围脂肪组织到浆膜表面。病理分期为T4aN2a。术后扫描显示无转移性疾病证据,患者接受了12次FOLFOX辅助化疗。 由于周围神经病变,十个周期后暂停奥沙利铂。7个月后 CT复查示出现肝脏转移病灶,穿刺活检确认转移性腺癌与已知结肠原发肿瘤一致。患者接受了肝脏病灶切除手术。 6个月复查示新的淋巴结肿大以及新的转移性肝脏病变。 此时,基因检测显示KRAS突变。患者开始使用FOLFIRI和西妥昔单抗进行全身治疗,由于患者在使用西妥昔单抗时发生明显的皮疹,方案转为FOLFIRI和贝伐单抗。 在随访中,患者出现严重的胸部和腹部疼痛,并进入医院进一步处理症状。
方法
CGP证实复发性肝转移具有七个基因组改变:BRAFV600E以及MYC扩增,CDKN2A(p16INK4a)A57V,TP53R175H,SMAD4 R361C和两个APC移码插入/缺失(S1545fs * 1,T1556fs * 3)。 没有证据表明高度遗传的基因组提示错配修复缺陷。 基于BRAFV600E和TP53 R175H突变的存在,患者开始dabrafenib治疗(达拉非尼Tafinlar; GlaxoSmithKline plc,London,UK),每日两次75mg,每天1mg的trametinib(曲美替尼,Mekinist; GlaxoSmithKline plc)和每两周 奥沙利铂85mg / m2 IV 。
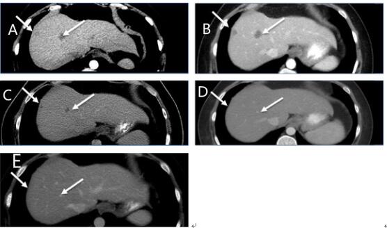
患者出现发热和寒战,并发生皮疹,但是当dabrafenib剂量降低至75 mg / d后,病人迅速改善。 治疗1个月后CT扫描,具有显著的影像学变化,纵隔淋巴结肿大缩小,没有新的肝或纵隔病变(图1A和B和2A和B与图1C和2C),并且在3个月时的影像学检查显示出纵隔淋巴结肿大和肝脏局部病变进一步缓解(图1D和2D)。 8个月的影像显示纵隔淋巴结持续缩小,肝脏病变完全消退(图1E和2E)。 患者目前仍继续进行治疗。
副作用:间歇性低度发烧,腹痛,持续但容易控制的皮疹。

图1:ABCDE

图2:ABCDE
美国foundation基因检测可为癌症患者提供更多的治疗方案及前沿治疗信息,咨询及申请美国foundation基因检测,请致电400-666-7998或登录全球肿瘤医生网(http://www.globecancer.com/)。
本网站所载的文/图等稿件均出于为公众传播有益健康的信息之目的,并不意味着赞同其观点或证实其内容的真实性,我们不对其科学性、严肃性等作任何形式的保证。如其他媒体、网络或个人从本网下载使用须自负版权等法律责任。
本网站所有信息仅供参考,不做个别诊断、用药和使用的根据。本网站致力于提供正确、完整的健康资讯,但不保证信息的正确性和完整性,且不对因信息的不正确或遗漏导致的任何损失或损害承担责任。本站所提供的任何医药资讯,仅供参考,不能替代医生和其他医务人员的建议,如自行使用本网资料发生偏差,本站概不负责,亦不负任何法律责任。
